Dental Implants In Dingwall, Scotland.
Restore, Renew, Reimagine Your Smile
Restore missing teeth with strength, stability, and natural-looking results using dental implants. At McIntyre, Corbet & Associates, our clinicians bring a wealth of experience, having successfully placed thousands of implants, and are dedicated to providing bespoke, carefully tailored solutions that look, feel, and function just like natural teeth. Designed to integrate securely with the jawbone, providing unmatched structural integrity and long-term reliability, this advanced treatment not only enhances the look and feel of your smile but also supports your overall oral health, allowing you to eat, speak, and smile with complete confidence for years to come.
Dental Implants In Dingwall
What are Dental Implants?
If you’ve lost one or more teeth and are looking for a solution that feels truly natural, dental implants may be the ideal option. Unlike traditional removable dentures or bridges, implants are fixed in place and are a unique replacement option as they do not rely on neighbouring teeth for support and help to preserve bone density in the jaw – allowing you to eat, speak, and smile with complete confidence.
A dental implant is a small titanium post that is carefully placed into the jawbone, acting as an artificial tooth root. Over time, it fuses with the bone in a process called osseointegration, creating a secure and long-lasting foundation for a crown, bridge, or denture. This not only restores your smile’s appearance but also its strength and function – helping to prevent bone loss and maintain the natural shape of your face. At McIntyre, Corbet & Associates, our trusted implant specialists are here to deliver seamless, safe, and highly personalised treatment plans that support your long-term oral and mental health.
Why Choose Dental Implants?
Permanent Solution
A Lifetime of Secure Smiles
Dental implants provide a long-lasting solution for missing teeth, offering durability and stability that feel just like natural teeth.
Improved Functionality
Eat and Speak with Confidence
Say goodbye to discomfort! Dental implants restore full functionality, allowing you to enjoy your favourite foods and speak clearly.
Bone Health Benefits
Preserve Your Jawbone Structure
Dental implants stimulate the jawbone, preventing bone loss and maintaining your facial structure for a more youthful appearance.
Natural Appearance
Seamless, Realistic Tooth Replacement
Our implants are expertly crafted to blend with your natural teeth, giving you a smile that looks and feels completely authentic.
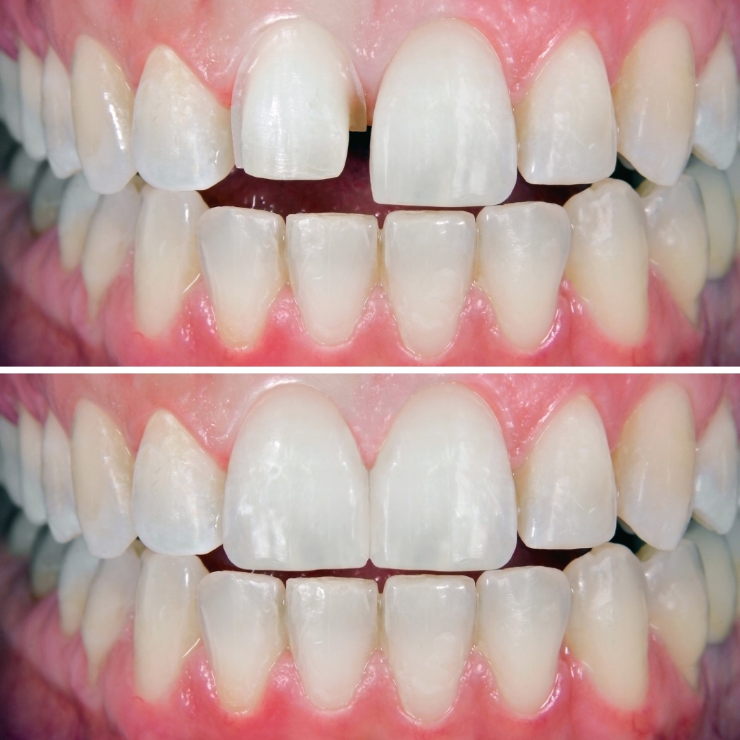
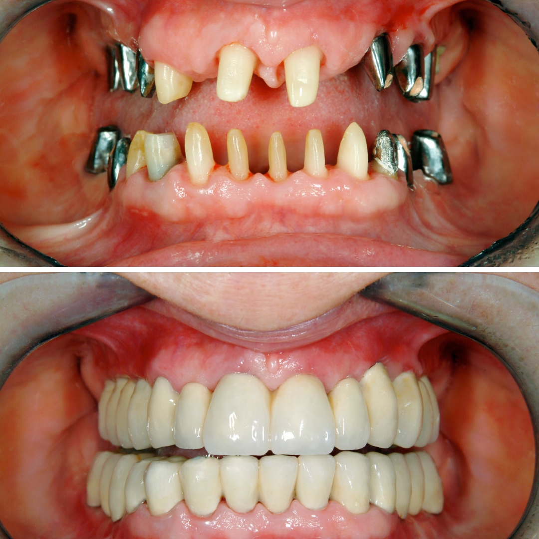
Gallery
Over the years, we've seen thousands of amazing transformations. Explore just a few examples!




